Breaking a tooth is one of those “it happened so fast” moments.
One second you’re fine. The next… crack.
Maybe it was a popcorn kernel. Maybe you tripped. Or maybe it was just bad luck.
Either way, it’s not fun. It looks bad, it can hurt, and even if it doesn’t hurt right away, you start thinking:
“Do I need to fix this now, or can it wait?”
Spoiler: You should fix it now.
And the good news is, there are plenty of restorative dentistry options that can make it look (and feel) like nothing ever happened.
Why You Don’t Want to Ignore a Broken Tooth
I’ve heard people say, “It’s just a small chip, I’ll deal with it later.”
Here’s the thing — teeth don’t heal on their own.
Leave it long enough, and the problem can get much worse.
What can happen if you don’t get it fixed:
- Sensitivity that creeps in over time
- Pain when you chew certain foods
- Decay starts in the damaged spot
- Gum irritation or swelling
- Shifting teeth messing up your bite
A small fix today can save you a big, expensive fix later.
Top Restorative Dentistry Options to Fix a Broken Tooth

-
Dental Bonding — Quick and Painless
Best for Small chips, tiny cracks, and reshaping a tooth.
Bonding is when your dentist uses a tooth-colored resin to patch the damage.
They shape it to blend in with your tooth, then harden it with a special light.
Why I like this option:
- Usually done in one visit
- Takes less than an hour per tooth
- Painless for most people
- Lasts a good 3–10 years with normal care
It’s perfect for little accidents. Just remember, it’s not as strong as your real tooth, so it can chip again if you bite something hard.
-
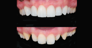
Dental Veneers — The “New Front” for Your Tooth
Best for: Front teeth that are chipped, cracked, or discolored.
Veneers are thin porcelain shells that cover the front of your tooth.
They don’t just repair damage — they upgrade your smile.
What the process looks like:
- A dentist trims a tiny bit of enamel
- They take an impression or scan
- A custom veneer is made for you
- It’s permanently bonded to your tooth
They can last 10–15 years and look completely natural.
Downside? They cost more than bonding, and once you get them, you’ll always need some kind of cover on that tooth.
-
Dental Crowns — Full Coverage Protection
Best for: Big cracks, major chips, or teeth that are already weak.
A crown is basically a cap that covers the whole tooth.
It restores shape and strength, and lets you chew normally again.
Why it’s a top restorative dentistry option:
- Stops further damage
- Looks just like a natural tooth if done well
- Can last 10–15 years (sometimes more)
Usually takes two visits unless your dentist has same-day crown tech.
-
Inlays and Onlays — The In-Between Option
It is best for damage that’s too big for a filling but doesn’t need a crown.
Think of these as custom puzzle pieces that fit perfectly into your tooth.
They’re stronger than regular fillings but less invasive than crowns.
Benefits:
- Preserve more of your natural tooth
- Blend in seamlessly
- Can last a decade or more
Takes two visits — one for impressions, one for placement.
-
Root Canal with a Crown — When the Nerve Is Involved
It is best for severe cracks or breaks exposing the pulp (nerve).
If you’ve got pain, swelling, or sensitivity to hot and cold, the nerve might be in trouble.
A root canal cleans out the infected pulp and saves the tooth from extraction.
Then you get a crown for protection.
It sounds scarier than it is — modern root canals are usually painless, and they can save your tooth for decades.
-
Dental Implants — When the Tooth Can’t Be Saved
It is best for a tooth that’s too far gone.
An implant is a titanium post placed in your jaw, topped with a crown.
It acts and feels like a real tooth.
Why people choose them:
- They last decades (sometimes a lifetime)
- They prevent bone loss in your jaw
- They don’t affect the surrounding teeth
They take longer to complete and cost more upfront, but the long-term value is huge.
-
Partial Dentures — Budget-Friendly Replacement
It is best for multiple missing or badly damaged teeth.
Partial dentures are removable and fill the gaps.
Not as permanent as implants, but much more affordable.
Downsides:
- Not as stable
- Need to be removed for cleaning
- Can feel bulky at first
Still, they’re a quick way to get function and appearance back.
Choosing the Right Restorative Dentistry Option

Here’s the truth: there’s no “one best” fix for everyone.
The right choice depends on:
- How bad is the damage?
- Which tooth is it
- Your budget
- How long do you want it to last
- How much maintenance are you okay with
Ask your dentist to explain all the restorative dentistry options that could work for you.
If you’re not sure, get a second opinion.
Your smile’s worth it.
Keeping That Tooth Safe for the Long Run

Once you’ve repaired it, protect it.
- Wear a mouthguard if you play sports
- Don’t chew ice (seriously, just don’t)
- Treat teeth grinding with a night guard
- Keep up with regular check-ups
- Brush and floss daily
A little prevention now means you probably won’t be back in the dentist’s chair for another break.
A broken tooth isn’t the end of the world.
From quick bonding to long-lasting implants, today’s restorative dentistry options can get you smiling again, without pain or self-consciousness.
The key is not waiting.
The sooner you fix it, the better your chance of keeping your natural tooth healthy for years.

